DHSF - Dentalhygiene Praxis Sarah Frey bietet folgende Leistungen an:
- Professionelle Zahnreinigung und Politur
- Individuelle Beratung über die Mundgesundheit und Mundhygiene
- Professionelle Reinigung und Pflege von Zahnprothesen
- Befunderhebung
- Klinische Karieskontrolle
- Strahlungsfreie Kariesdiagnostik mit DIAGNOCam von KAVO
- Ernährungsberatung
- Home bleaching bleichen der Zähne zu Hause
- In office bleaching bleichen der Zähne in der Praxis
- Zahnschmuck ohne invasive Zerstörung der Zahnhartsubstanz
Der Taxpunktwert liegt bei 1.- Fr.
- Professionelle Zahnreinigung und Politur
Plaque und deren Stoffwechselprodukte führen zu Karieserkrankungen der Zähne und Erkrankungen des Zahnhalteapparates. Die Schaffung einer möglichst plaque- und zahnsteinfreien Mundhöhle sind das primäre Ziel zur Karies- und Paradontalprophylaxe.
Mit optimalen und regelmässigen Mundhygienemassnahmen (Zähne putzen) wird dies zu einem grossen Teil erreicht.
Trotz guter Zahnreinigung bildet sich jedoch Zahnstein in den Zahnzwischenräumen, der Zahninnenseite oder allgemein an Stellen, welche mit Zahnbürste und Zahnseide nur schwer zugänglich sind.
Die folgenden Bilder wurden bei uns mittels Intraoralkamera vor- und nach einer Behandlung aufgenommen.
Das Beispiel zeigt sehr starke Verfärbungen an der Zahninnenseite und den gebildeten Zahnstein in den Zwischenräumen:

Mittels hoch moderner Geräte und Instrumente werden die Beläge so schonend wie nur möglich entfernt.
Pressebeitrag "Live Bericht aus der Praxis" der Zeitschrift Zahnzeitung Schweiz
Das folgende Video zeigt den Einsatz des Mectron Airflow Pulverstrahlgerätes, welches Verfärbungen sehr schonend, schmerzfrei und effektiv entfernt:
Das folgende Video zeigt den Einsatz des Ultraschallgerätes welches harte Beläge wie Zahnstein entfernt. Ultraschall erzeugt zusätzlich hydrodynamische Turbulenzen, welche Bakterien zerstören, ohne diese mechanisch mit der Sonde zu berühren. Diese Bakterien befinden sich unter dem Zahnfleisch und sind sehr schädlich für den Zahnhalteapparat:
- Individuelle Beratung über die Mundgesundheit und Mundhygiene
Mittels optimierten Zahnreinigungsmassnahmen, lassen sich die Bildung von Zahnstein und Verfärbungen stark verringern.
Eine Beratung über die für Sie optimalste Zahnbürste- und Pasten- Kombination, sowie Zahnputztechnik und geeignete Hilfsmittel für die Zahnzwischenräume, sind der Grundstein für eine optimale Mundhygiene.
Nur so kann Karies und Entzündungen am Zahnhalteapparat verhindert werden.
Meistens sind den Patienten die Problemstellen nicht bewusst, da sie "aus ihrer Perspektive" kaum sichtbar sind.
Dank der Vergrösserung der Intraoralkamera sieht man diese jedoch klar. Die Risikostellen werden besprochen und gemeinsam gezielte Massnahmen getroffen:
- Professionelle Reinigung und Pflege von Zahnprothesen
Auch die professionelle Reinigung der Prothesen ist wichtig, denn ungereinigte Zahnprothesen können starke Entzündungen an den Schleimhäuten verursachen.
Dazu verwenden wir ein spezielles Ultraschall Becken mit für Prothesen optimierten Pflegemitteln, welches weiche und harte Ablagerungen restlos entfernt.
- Befunderhebung
Die Befunderhebung ist eine essentielle Aufgabe, welche den Gesundheitszustand der Zähne, des Zahnhalteapparates und der gesamten Mundhöhle über einen langen Zeitraum erfasst. Nur dadurch können Veränderungen erkannt und entsprechend behandelt werden.
Als Beispiel soll der Parodontalstatus genannt werden, bei welchem das Knochenniveau gemessen wird. Geht der Knochen unbemerkt zurück, kann dies zum Zahnverlust führen. Bei frühzeitiger Erkennung kann dies die diplomierte Dentalhygienikerin jedoch durch gezielte und fachkorrekte Behandlung verhindern.
Weiter werden die Zahnbeweglichkeit, Zahnfleischrückgang sowie Dentalzustand erfasst (bsp. Karies, Erosionen, Abrasionen und Attritionen).
Bei Bedarf werden weitere Abklärungen durchgeführt. Dazu gehören Bakterientest (iai Padotest), Speichelmengentest oder auch physiologische Tests des Kieferapparates (bsp. Knirschen / pressen).
- Klinische Karieskontrolle
Die klinische Karieskontrolle wird vorwiegend visuell vorgenommen. Damit uns auch kleinste Details nicht entgehen, verwenden wir eine Lupenbrille von Zeiss, welche 2.5- Fach vergrössert und mit einer zusätzlichen Beleuchtung ausgestattet ist:
- Strahlungsfreie Kariesdiagnostik mit DIAGNOCam von KAVO
Intraoralsensoren, 2D- oder 3D-Röntgengeräte zeigen Karies häufig erst, wenn diese das Dentin erreicht hat.
Die KaVo DIAGNOcam ist die ideale Ergänzung zur klassischen Kariesbefundung: Mit ihr erkennen wir Approximal- und Okklusalkaries viel früher und einfacher.
Frei von Verfälschungen durch Plaqueablagerungen oder Überlappungen sehen wir die Zahnstruktur und Karies in beeindruckender Brillanz und Klarheit – ohne Wartezeit und ohne Röntgensrahlung direkt am Behandlungsplatz.
- Ernährungsberatung
Bei auffälligen Dentalbefunden wie Zahnhartsubstanzverlust durch Säureeinwirkung oder häufigem Auftreten von Karies, helfen wir durch eine gezielte Befragung über das Ernährungsverhalten die verursachenden Nahrungsmittel zu identifizieren.
Um das fortschreiten solcher Defekte in Zukunft zu vermeiden und allfällige Zahnüberempfindlichkeiten zu lindern, beraten wir Sie gerne.
- Home bleaching bleichen der Zähne zu Hause
Die Zahnaufhellung zu Hause ist eine komfortable Variante um die Zähne langsam aufzuhellen.
Dabei werden in der Praxis Abdrücke des Ober- und Unterkiefers erstellt, woraus unser Zahntechniker erst ein Gipsmodell erstellt, um dann die Bleichschienen für Unter- und Oberkiefer zu produzieren.
Diese können Sie, nach unserer Instruktion, ganz einfach Zuhause einsetzten und zwar dann, wenn es Ihnen zeitlich am besten passt.

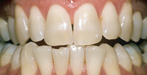
- In office bleaching bleichen der Zähne in der Praxis
Die Zahnaufhellung in der Praxis wird komplett durch zahnmedizinisches Fachpersonal durchgeführt.
Das erlaubt den Einsatz von höher konzentrierten Gelen als dies bei einer Aufhellung zu Hause möglich ist. Entsprechend intensiver ist das Ergebnis, welches in 90 Minuten bis zwei Stunden vollständig erreicht wird.
DHSF verwendet die entsprechenden Produkte von Philips ZOOM!
Diese wurden nach höchsten Qualitätsstandards speziell für diese Anwendung entwickelt und sind klinisch validiert.Alle Philips ZOOM! Produkte sind nachweislich nicht schädlich für Zähne und Zahnfleisch.
Sehen Sie einige Ergebnisse, welche mit dieser Technik erzielt wurden:



- Zahnschmuck ohne invasive Zerstörung der Zahnhartsubstanz
Wollten Sie schon immer ein aufregendes glitzern erzeugen wenn Sie lachen und damit noch mehr auf Ihr bezauberndes lächeln aufmerksam machen?
Wir befestigen Ihnen ihr "Twinkle" mittels professioneller Methode ohne den Zahn zu beschädigen, damit Sie lange Freude an Ihrem zusätzlichen Strahlen haben.
Bei dieser Methode lässt sich das "Twinkle" restlos und ohne Zerstörung der Zahnsubstanz auch wieder entfernen.

